
中东呼吸综合征冠状病毒(Middle East Respiratory Syndrome Coronavirus,MERS-CoV)隶属于冠状病毒科β冠状病毒属,是一类具有包膜的单股正链 RNA 病毒。该病毒基因组序列与蝙蝠来源的冠状病毒具有较高同源性,推测其起源于蝙蝠等野生动物宿主,经长期进化形成具有特定基因特征的毒株。MERS-CoV 具有典型的冠状病毒科生物学特性,其基因组复制依赖自身编码的 RNA 依赖的 RNA 聚合酶,且基因组可发生基因重组与突变,进而产生不同的基因亚型。该病毒的基因组成较为复杂,包含多个开放阅读框,可编码多种非结构蛋白与结构蛋白,为病毒的复制与组装提供支撑。


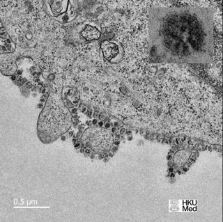
MERS-CoV 病毒颗粒呈球形,直径约 120-160 nm,结构由外至内依次为包膜、膜蛋白基质层及核衣壳。病毒包膜源于宿主细胞的内质网 - 高尔基体中间膜囊,表面镶嵌有四种关键结构蛋白,分别为刺突蛋白(S 蛋白)、包膜蛋白(E 蛋白)、膜蛋白(M 蛋白)和血凝素酯酶蛋白(HE 蛋白)。其中 S 蛋白可通过自身的受体结合域识别特定蛋白,是介导病毒与宿主细胞相互作用的核心蛋白;E 蛋白与 M 蛋白参与病毒颗粒的组装与形态维持;HE 蛋白则具有血凝素与酯酶双重活性。包膜内侧的基质层由 M 蛋白交联形成,可连接包膜与核衣壳,保障病毒结构稳定。核衣壳呈螺旋对称结构,由核衣壳蛋白(N 蛋白)与病毒单股正链 RNA 基因组紧密结合而成,对病毒基因组起到保护作用。MERS-CoV 基因组全长约30 kb,是目前已知的最大 RNA 病毒基因组之一,基因排列顺序遵循冠状病毒科的典型特征。
辰辉创聚生物提供中东呼吸综合征冠状病毒(MERS-CoV)全系列抗原及抗体。
抗原
| 品名 | 货号 |
|
| NebuSelect™ Recombinant MERS-CoV Envelope Protein, 36-82aa, His-tag, GST-tag | NBL-292220 | ☎ 获取技术资料 >> |
| NebuSelect™ Recombinant MERS-CoV Membrane Protein, 102-219aa, His-tag | NBL-292221 | ☎ 获取技术资料 >> |
| NebuSelect™ Recombinant MERS-CoV N/Nucleoprotein Protein, 1-413aa, His-tag | NBL-292222 | ☎ 获取技术资料 >> |
| NebuSelect™ Recombinant MERS-CoV nsp1 Protein, 16-193aa, His-tag | NBL-292223 | ☎ 获取技术资料 >> |
| NebuSelect™ Recombinant MERS-CoV nsp10 Protein, 4244-4367aa, His-tag | NBL-292224 | ☎ 获取技术资料 >> |
| NebuSelect™ Recombinant MERS-CoV nsp2 Protein, 194-584aa, His-tag | NBL-292225 | ☎ 获取技术资料 >> |
| NebuSelect™ Recombinant MERS-CoV nsp3 Protein, 1481-1811aa, His-tag | NBL-292226 | ☎ 获取技术资料 >> |
| NebuSelect™ Recombinant MERS-CoV nsp4 Protein, 3151-3247aa, His-tag | NBL-292227 | ☎ 获取技术资料 >> |
| NebuSelect™ Recombinant MERS-CoV nsp5 Protein, 3248-3553aa, His-tag | NBL-292228 | ☎ 获取技术资料 >> |
| NebuSelect™ Recombinant MERS-CoV nsp6 Protein, 3787-3845aa, His-tag, GST-tag | NBL-292229 | ☎ 获取技术资料 >> |
| NebuSelect™ Recombinant MERS-CoV nsp7 Protein, 3846-3928aa, His-tag | NBL-292230 | ☎ 获取技术资料 >> |
| NebuSelect™ Recombinant MERS-CoV nsp8 Protein, 3929-4127aa, His-tag | NBL-292231 | ☎ 获取技术资料 >> |
| NebuSelect™ Recombinant MERS-CoV nsp9 Protein, 4128-4237aa, His-tag | NBL-292232 | ☎ 获取技术资料 >> |
| NebuSelect™ Recombinant MERS-CoV ORF3 Protein, 30-103aa, His-tag, GST-tag | NBL-292233 | ☎ 获取技术资料 >> |
| NebuSelect™ Recombinant MERS-CoV ORF4a Protein, 1-109aa, His-tag | NBL-292234 | ☎ 获取技术资料 >> |
| NebuSelect™ Recombinant MERS-CoV ORF4b Protein, 1-246aa, His-tag | NBL-292235 | ☎ 获取技术资料 >> |
| NebuSelect™ Recombinant MERS-CoV ORF5 Protein, 111-224aa, His-tag | NBL-292236 | ☎ 获取技术资料 >> |
| NebuSelect™ Recombinant MERS-CoV S/Spike glycoprotein (NTD) Protein, 1-351aa, His-tag | NBL-292237 | ☎ 获取技术资料 >> |
| NebuSelect™ Recombinant MERS-CoV S/Spike glycoprotein (RBD) Protein, 377-588aa | NBL-292238 | ☎ 获取技术资料 >> |
| NebuSelect™ Recombinant MERS-CoV S/Spike glycoprotein Protein, 367-602aa, His-tag | NBL-292239 | ☎ 获取技术资料 >> |
| NebuSelect™ Recombinant MERS-CoV Spike Glycoprotein NTD Protein, 18-351aa, His-tag | NBL-292240 | ☎ 获取技术资料 >> |
| NebuSelect™ Recombinant MERS-CoV Spike Glycoprotein RBD Protein, 367-606aa, His-tag | NBL-292241 | ☎ 获取技术资料 >> |
抗体